„Потрошив 162.000 долари на операции за ИЗДОЛЖУВАЊЕ на нозете, затоа што мојот дечко така сакаше. Сега жалам поради тоа…“
Манекенка, која потрошила повеќе од 162.000 долари на две операции за издолжување на екстремитетите, тврди дека нејзиниот поранешен сопруг ја убедил на тоа.

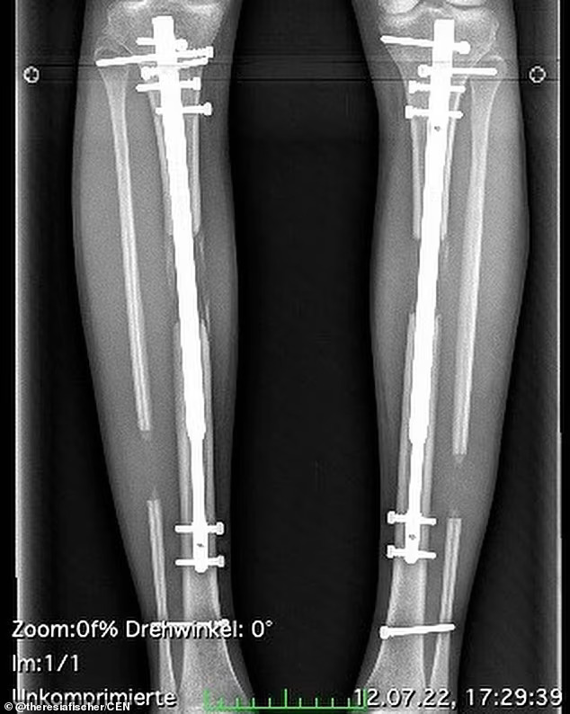
Терезија Фишер, од Хамбург, Германија, поминала низ исцрпувачки операции за да додаде дополнителни 15 сантиметри на нејзината висина. Таа претходно била висока 1 метар и 75 сантиметри, но по двете операции сега е висока нешто помалку од 2 метри.
31-годишната инфлуенсерка тврди дека на идејата дошол нејзиниот поранешен сопруг Томас Беренд.
Зборувајќи за радио станицата „MDR Jump“, манекенката тврди дека тој и рекол: „Терезија, знаеш дека ми се допаѓаат високи дами. Па јас навистина би сакал да изгледаш така“.
Таа никогаш не знаела дека постојат операции за издолжување на нозете пред предлогот на нејзиниот поранешен.

Лекарите вметнале прилагодливи телескопски шипки во нејзините потколеници и постепено ги вртеле додека нејзините нозе не биле подолги. Манекенката потоа имала уште една операција минатиот март за да ги издолжи нозете по втор пат за дополнителни 3 сантиметри. Трошоците за двете процедури заедно достигнале повеќе од 162.000 долари.
Терезија и Томас првпат се сретнале во 2015 година и објавија дека се разделуваат минатиот септември, шест месеци по нејзината втора операција. Двојката ги кажа своите завети пред милиони луѓе, додека се венчаа на финалето на германскиот „Next Top Model“ во 2019 година.


Тогаш изјавија дека сакаат да ги задржат приватни причините за нивната разделба. Терезија тврди дека никогаш не би поминала низ операциите доколку нејзиниот поранешен сопруг не ја малтретирал.
Таа го објасни процесот на операција за германскиот весник „ Билд“ и рече: „За време на процедурата, коската на потколеницата е чисто скршена, мускулите на потколеницата се поделени и во секој случај се користи телескопска прачка. Се срамам затоа што се согласив на операција која не требаше да ја направам“.
Во 2019 година – додека сè уште беше со Томас – Терезија рече: „Сега мојот секс е подобар! Станав многу флексибилна со нозете и имам повеќе простор за маневрирање во креветот“.

Во тоа време, Терезија исто така тврдеше дека отишла под нож за да ја зголеми самодовербата бидејќи била малтретирана како тинејџерка. Сега се чувствувам среќна и задоволна со моите нозе, но ме погоди бран на омраза на Интернет. Многу ме болеше. Со постапката за продолжување на нозете, се пронајдов себеси и конечно ја надминав старата траума од малтретирањето“.

Терезија сега повторно ја разгори љубовта со Стефан, стар пламен со кој одржуваше контакт низ годините. Терезија има 141.000 следбеници на „Инстаграм“, каде што редовно споделува што прави.
Доколку сакате добра акција или пак забегани и жестоки случки само за најхрабрите читатели, тогаш посетете го каналот Жестоко. Предупредување: Содржините може да ве вознемират!

Коментирај анонимно